1. トップ
  2. 犬と暮らす
  3. 健康・病気
  4. 獣医師<スペシャリスト>が今、伝えたい犬の病気

犬と暮らす

UP DATE

獣医師<スペシャリスト>が今、伝えたい犬の病気

獣医師<スペシャリスト>が今、伝えたい犬の病気

『いぬのきもち』2016年9月号「獣医師<スペシャリスト>が今、伝えたい犬の病気」では、各分野に力を入れて診療している、エキスパートと評判の7人の獣医師を取材し、今注目している病気や最近の傾向などを紹介しています。
この中から今回は、「皮膚」と「胃・腸」の病気の一部についてご紹介します。

アトピー性皮膚炎

アレルギー性皮膚炎の一種。アレルギーの原因物質が多岐にわたり、さらにさまざまな原因がからみあって発症するので完治が難しく、生涯つきあっていく病気です。
かゆみや炎症を抑える投薬が治療の中心となりますが、最近では即効性で副作用が少ない新薬が発売され、その効果が期待されます。
また病気を慢性化させるたんぱく質が解明されるなど、病気のメカニズムが研究によって徐々に明らかに。
今後さらに研究が進めば、新たな治療法も出てくるでしょう。
春~夏にかけて症状が強く出る柴。強いかゆみのために目のまわりをかいてしまい、皮膚が黒ずんでいる。

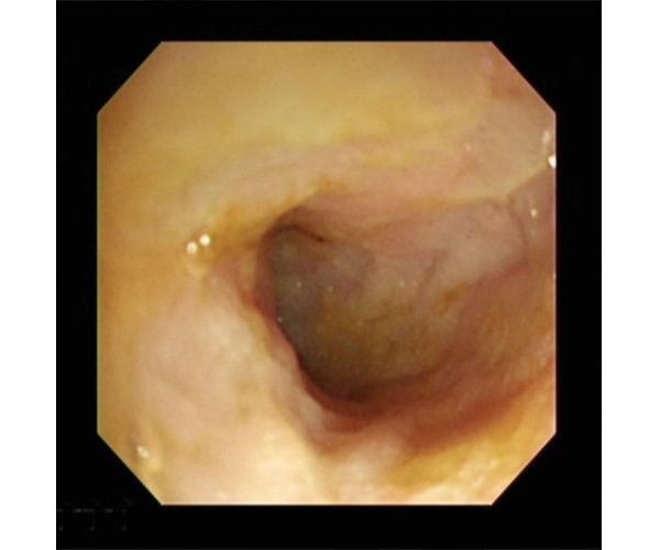
炎症性腸疾患

「たまに吐く」「おなかがゆるい」といった慢性的な嘔吐(おうと)や下痢がみられる病気です。内視鏡で腸の組織の一部を切り取って検査をすることで病気を診断できます。
現在のところ完治は難しい病気ですが、放っておくと「たんぱく漏出性腸症(たんぱくろうしゅつせいちょうしょう)」という命にかかわる状態につながることも。
「たまに吐くのは愛犬の体質」と見逃さないようにして。
内視鏡で見た炎症性腸疾患を起こしている犬の腸内。粘膜がでこぼこしている。

各分野のエキスパートが、今伝えたい病気を解説します!

いかがでしたか?
『いぬのきもち』2016年9月号「獣医師<スペシャリスト>が今、伝えたい犬の病気」では、このほかにも、「目」「心臓」「骨・関節」「脳・神経」「腫瘍」の各分野について、注目の病気を紹介しています。
最近の病気の傾向や予防法、早期発見方法を知って、愛犬の健康管理に役立てましょう。
CATEGORY   犬と暮らす

UP DATE

関連するキーワード一覧

人気テーマ

あわせて読みたい!
「犬と暮らす」の新着記事

新着記事をもっと見る