1. トップ
  2. 犬と暮らす
  3. 健康・病気
  4. 病気の兆候
  5. 【獣医療最前線】日本の暮らしの変化で増えた犬の病気があった

犬と暮らす

UP DATE

【獣医療最前線】日本の暮らしの変化で増えた犬の病気があった

最近では大学病院などの二次診療施設以外でも専門の診療科をもつ動物病院が増えてきました。そんな得意分野に力を入れている“エキスパート”に最近の傾向や注目している病気の予防法などを教えてもらいました。

今回は犬の生活スタイルが変わったことで増えてきた“骨・関節”の病気について紹介します。

生活様式の変化で増加した骨と関節の病気

今は大型犬でもフローリングの室内で飼うことが増えました。またドッグランが身近になり、子犬のころから思いっきり運動させる飼い主さんも増加。そのためか、骨・関節を痛める犬が増えている傾向に。
治療面でも専門の動物病院ができたり、リハビリテーション医療を導入するところも増えてきています。

注意したい骨・関節の病気:肩関節の疾患

犬種によっては肩関節を脱臼することがあり、その場合、人工靭帯などで関節を修復します。
病状がひどいと関節を金具で留めて歩けるようにします。

中・大型犬は肩関節に炎症を起こすことが多く、その結果、関節表面が割れたり、肩につながる筋肉の腱を痛めることがあります。
肩関節脱臼を起こしたトイ・プードルのエックス線写真。赤い円内の関節がずれている

肩関節の疾患を起こしやすい犬種

トイ・プードル
ポメラニアン

注意したい骨・関節の病気:肘関節形成不全

肘関節形成不全(ちゅうかんせつけいせいふぜん)は、前足首とひじの間にある2つの骨の成長の不均衡により、肘関節の痛みと変形を起こす病気です。
そもそも犬の前足には体重の多くがかかるのに、後ろ足のひざのようなクッション機能がなく、ひじを痛めやすい傾向が。大型犬に多い病気ですが中型犬もなり、前足を引きずったり、前足を上げたりします。生後4カ月までに見つかれば進行を抑える手術をすることも。
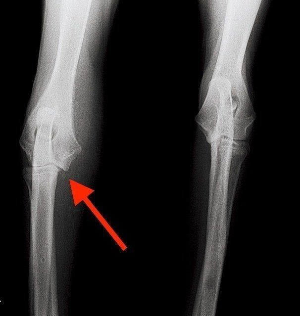
内側鉤状突起(ないそくこううじょうとっき)という肘関節の一部が壊れた例。骨の破片が確認できる

成長期に過度な運動はNG!!

子犬期は体が成長する大事なとき。その時期にドッグランへ毎日通って走らせるなど過度な運動をさせると、骨・関節を痛めることに。
状態が悪くなってから動物病院を受診するケースも多いので、子犬期は専門医による関節チェックを受けると安心です。

参考/「いぬのきもち」2016年9月号『獣医師が今伝えたい犬の病気』(監修:アニマルクリニックこばやし院長 小林孝之先生)
症例写真提供/アニマルクリニックこばやし
文/\(m.h)/
CATEGORY   犬と暮らす

UP DATE

関連するキーワード一覧

人気テーマ

あわせて読みたい!
「犬と暮らす」の新着記事

新着記事をもっと見る