1. トップ
  2. 犬と暮らす
  3. 健康・病気
  4. 健康管理・健康診断
  5. 「クセだから」「年だから」と見逃しがちな犬の病気の症状・しぐさ

犬と暮らす

UP DATE

「クセだから」「年だから」と見逃しがちな犬の病気の症状・しぐさ

飼い主の思い込みと勘違いがワンコの体を苦しめる!?

「愛犬のクセだから」「年のせいでしょ」はNGワード!

犬の場合、たとえ病気の症状が表に現れていたとしても、その症状を「愛犬の個性、クセ」「年のわりに元気」などと飼い主さんが勝手に解釈したり思い込んだりして、病気と気づかないことがあります。どんな病気の症状を勘違いしやすいのか、確認してみましょう。

「スキップしてかわいい!」→じつは、足の病気かも!

後ろ足をヒョコッと浮かせてスキップするように歩いていたら要注意。足のひざの皿がずれる「膝蓋骨脱臼」という関節まわりの病気の可能性が! スキップするように歩くだけでなく、後ろ足を曲げ伸ばししたり、片側の後ろ足を上げたまま立ったりするなどの症状がみられることもあります。トイ・プードルやポメラニアン、マルチーズなどの小型犬に多い病気とされていますが、大型犬でもなることが。歩き方がかわいい! などと勘違いしないようにしたいですね。

「お尻を振って歩くのがクセ」 →関節の病気の可能性が!

「うちのコ、お尻をフリフリして歩くのがクセなの♪」などと、のんきなことは言っていられません。もしかしたらそれは「股関節形成不全」という関節まわりの病気が原因かも。後ろ足を引きずる、立ち上がるのが遅いなどの症状が出ることもあります。
病気が進行すると歩けなくなることもあるので、なりやすいといわれている大型犬はとくに、子犬のときから検診を受けて異常がないかチェックするよう心がけましょう。
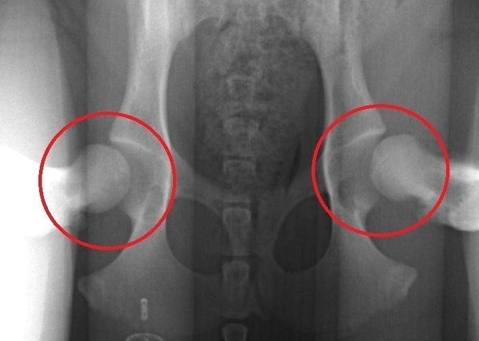
早期発見のためのエックス線検査で発見された股関節形成不全の例。円内の股関節にゆるみが見られます(症例写真提供/南 直秀先生)

「うちのコはおとなしいから…」 →ホルモンの病気が潜んでいるかも!

甲状腺から出るホルモンの分泌量が減る病気「甲状腺機能低下症」になると、何となく元気や覇気がなくなったり、散歩を嫌がるようになったり、寂しい顔つきになったりすることがあります。また異常に寒がりになる、おなかの皮膚が黒ずむ、脱毛する、といった症状が現れることも。
元気のない様子を「愛犬はそういう性格、年齢だから」と思い込むと、病気のサインを見逃してしまうかもしれませんよ。
写真右が発症時。首回りの毛が抜け落ちて、元気もなくなっていたそう。写真左が治療後。(症例写真提供/Can Do!Pet Dog School西川文二先生)

「食欲旺盛だから健康」 →ホルモンが過剰分泌されているかも!

「クッシング症候群」とは、副腎から出されるホルモンが過剰分泌される病気です。主な症状としては、多飲多尿(たくさん水を飲んで、たくさんオシッコをする)、異常な食欲、おなかがぽっこりと出る、など。シニア犬に多い病気とされていますが、そのためか、「年の割にたくさん食べてたくさん飲むから元気」と勘違いする飼い主さんもいます。腫瘍が原因でこの病気になる犬もいるので、思い込みや勘違いは命取りになることも。


犬は自分の不調を言葉で説明できません。ですから飼い主さんは、愛犬からの病気のサインを読み間違えることなくキャッチして、病気の早期発見、早期治療につなげましょう。


参考/「いぬのきもち」2017年2月号『飼い主さんが気づきにくい犬の病気15』(監修:東京動物医療センター 南 直秀先生)
文/h.taco
※症例写真を除き、記事と写真に関連性はありませんので予めご了承ください。
CATEGORY   犬と暮らす

UP DATE

関連するキーワード一覧

人気テーマ

あわせて読みたい!
「犬と暮らす」の新着記事

新着記事をもっと見る