1. トップ
  2. 犬と暮らす
  3. 健康・病気
  4. 病気の兆候
  5. 気づかないうちに進行してるかも⁉ 怖い犬の心臓病

犬と暮らす

UP DATE

気づかないうちに進行してるかも⁉ 怖い犬の心臓病

“犬の心臓病”と聞いて、みなさんはどんな病名を思い浮かべますか?
不整脈?心筋梗塞? 人と犬ではかかりやすい病気の種類が違うので、犬の異変に早く気づくためには、どんな病気があるのか知っていることが重要です。
犬の心臓病の中でも多く見られるのは、「僧帽弁閉鎖不全症(そうぼうべんへいさふぜんしょう)」です。
飼い主さんがとくに気づきにくいといわれている病気なので、この機会に理解を深めてみてはいかがでしょうか。

そもそも「僧帽弁閉鎖不全症」ってどんな病気?

「僧帽弁閉鎖不全症(そうぼうべんへいさふぜんしょう)」は、血液の逆流が起きてしまうわんちゃんの病気で、基本的に完治が難しいとされる病気です。

血液を全身に送り出しているのは心臓の左心房と左心室ですが、「僧帽弁閉鎖不全症」のわんちゃんは、左心房と左心室の間にある、僧帽弁という弁の機能が低下してしまい、血液をうまく送り出すことができません。
病気が進行してしまうと、肺水腫(はいすいしゅ)などを併発し呼吸困難を起こすようになることも。
その場合、散歩などで軽く動いただけでも、体に力が入らない様子で座り込んでしまうことがあります。

見てわかるような症状が出にくく、発見が遅れがちに

僧帽弁閉鎖不全症」がやっかいなのは、症状が出にくいこと。
「僧帽弁閉鎖不全症」の初期症状は、心音に雑音が混ざるなど体の内部での異常がみられるため、飼い主さんが気づくのは難しいといわれています。

セキが出たり、散歩中に座り込んだり、散歩自体を嫌がるといった、飼い主さんから見てもわかるような症状があらわれるのは、ある程度病気が進行してから。
「飼い主さんが気づいたときには、かなり進行していた…」ということも考えられるので、早期発見に努めましょう。
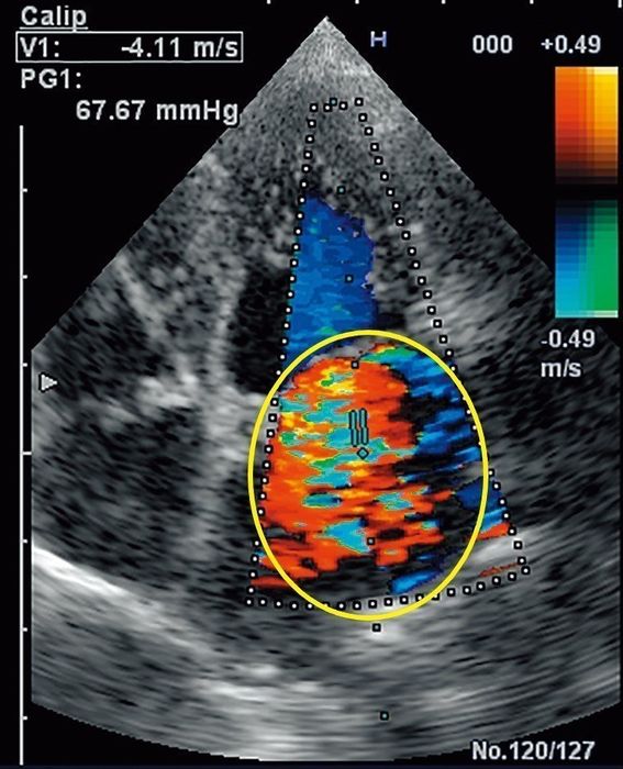
「僧帽弁閉鎖不全症」の犬の心臓エコー画像。円で囲んでいるところが、逆流した血液を示しています

わんちゃんの心臓病を早期に発見するにはどうすればいいの?

症状が表に出ない初期のころであっても、エコー検査と聴診によって、わんちゃんの心臓の状態を確認することができます。
病気が見つかったり、以前よりも病状が進行している場合は、投薬によって症状を抑える治療が行われます。
いかがでしたか?愛犬の生活の質(QOL:quality of life)を維持するには、病気の早期発見と早期の投薬治療が重要です。
人は「胸がギュッと苦しくなる」などと言葉で表現できますが、犬はできません。
病気を見つけやすくするためにも、若くて元気なうちから定期健診を受けるようにしましょう!

参考/「いぬのきもち」2017年2月号『飼い主さんが気づきにくい犬の病気15』(監修:東京動物医療センター副院長 南 直秀先生)
症例写真提供/南 直秀先生
文/UTAにゃん
※症例写真以外の写真と記事に関連性はありませんので、予めご了承ください。
CATEGORY   犬と暮らす

UP DATE

関連するキーワード一覧

人気テーマ

あわせて読みたい!
「犬と暮らす」の新着記事

新着記事をもっと見る