1. トップ
  2. 犬と暮らす
  3. 健康・病気
  4. 病気の兆候
  5. クセや個性と間違えやすい、犬の怖い病気は|飼い主なら知っておきたい

犬と暮らす

UP DATE

クセや個性と間違えやすい、犬の怖い病気は|飼い主なら知っておきたい

実は先天性の疾患かも!? 本当は怖い、犬の病気

「ウンチやオシッコが変」「突然吐いてしまった」など、目で見て分かりやすい異変であれば、愛犬をすぐに動物病院に連れていくことができますが、病気のなかには飼い主さんでは気づきにくいものも多々あります。なかでも、恐ろしいのがクセや個性と勘違いしやすい病気で、飼い主さんはいつも通りと思っていても、愛犬の体内では症状がどんどん悪化してしまい、最悪の場合命にかかわることも……。ここでは飼い主さんがクセや個性などと勘違いしやすく、気づきにくい犬の病気についてご紹介します。

おしりをフリフリしながら、歩いてない?

以下の特徴に愛犬が当てはまったりしませんか?

  • お尻を振って歩く
  • 立ち上がるのが遅い
  • 後ろ足を引きずる

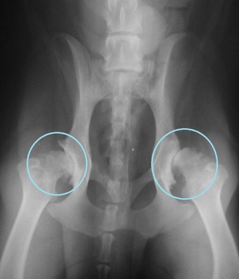
心当たりがあった場合、もしかすると股関節形成不全(こかんせつけいせいふぜん)という病気かもしれません。これは、股関節が正しい形につくられず、関節が変形したり、歩くたびに痛みが出るといったさまざまな症状を引き起こす病気です。とくに発育過程である子犬期に症状が出やすく、重症化すると歩けなくなることも!
お尻を大きくフリフリと振りながら歩くなど、特徴のある歩き方をするのが発見のポイントですが、「うちのコの歩き方、かわいい♥」など、飼い主さんがクセや個性と勘違いしやすいので、見逃してしまいがちです。

頭が少し大きめだったりしない?

以下の特徴に愛犬が当てはまったりしませんか?

  • おでこが大きく出っぱっている
  • 物によくぶつかる
  • 両目がそれぞれ外側を向いている
  • 回るしぐさをする
  • なでられるのを嫌がる

心当たりがあった場合、もしかすると水頭症(すいとうしょう)かもしれません。これは、子犬期の犬で診鵜tかることの多い、ほぼ先天性の病気。脳内(脳室)に脳脊髄液(のうせきずいえき)という液体が過剰にたまり、脳が圧迫されてけいれん発作や視覚障害などの症状が出ます。先天性の病気のために症状が出るまで気づきにくいのが特徴ですが、きょうだい犬より頭が大きかったり、成長が遅かったりする場合もあります。

オシッコを頻繁にしてない?

以下の特徴に愛犬が当てはまったりしませんか?

  • 頻繁にトイレに行く
  • オシッコを出しづらそうにする
  • オシッコに血が混じる
  • トイレが長い

心当たりがあった場合、もしかすると膀胱ポリープかもしれません。膀胱はオシッコをためておき、排出する臓器ですが、この内部にできもの(ポリープ)が発生すると、オシッコをするときに詰まったり、粘膜が炎症を起こしてしまうことがあります。重症化すると命にかかわる場合も!とくに尿道付近のポリープは見つけにくく、「愛犬のオシッコはいつもこうだから」と見誤ると、気づくのに遅れてしまいます。

油断せずに、愛犬と向き合おう

いかがでしたか?とくに家に迎えたばかりの子犬期では、生まれつきのクセや個性と勘違いしてしまうケースも多いです。同じ犬種のいぬ友を作って見比べてみたり、愛犬の犬種でなりやすい病気をあらかじめ調べておくと、早期発見のヒントになりますよ!

参考/『いぬのきもち』2019年2月号「年代別 飼い主さんが気づきにくい病気」(監修:東京動物医療センター副院長 南直秀先生)
症例写真提供/東京動物医療センター
文/影山エマ
CATEGORY   犬と暮らす

UP DATE

関連するキーワード一覧

人気テーマ

あわせて読みたい!
「犬と暮らす」の新着記事

新着記事をもっと見る