1. トップ
  2. 犬と暮らす
  3. 健康・病気
  4. 病気の兆候
  5. 「たまに吐くけど元気」実は命に関わる胃腸の病気のことも

犬と暮らす

UP DATE

「たまに吐くけど元気」実は命に関わる胃腸の病気のことも

たまに吐くを見逃さないで!命にかかわる犬の胃・腸の病気

内視鏡検査でわかってきた犬の胃・腸の病気

犬がたまに吐くという症状。じつは危険な病気のサインかもしれないと知っていましたか?
最近では、犬でも内視鏡による胃・腸の病気の検査や処置が増えつつあり、今までより早くに確実に病気の診断と治療ができるようになってきました。
そのような現状から、次に紹介する犬の胃・腸の病気がとくに注目されています。

犬に見られる「炎症性腸疾患」とは?

「たまに吐く」「何となくおなかがゆるい」。
炎症性腸疾患(IBD)は、そんな慢性的な嘔吐や下痢の症状がみられる犬の胃・腸の病気です。腸を詳しく検査しないと確定診断がつかない病気のため、これまで飼い主さんにはあまり広く知られていませんでした。
しかし現在は、開腹することなく、内視鏡で腸の組織の一部を切り取って検査することが可能になったため、よりスピーディーに病気を診断できるようになったのです。
↑内視鏡で見た炎症性腸疾患を起こしている犬の腸内。粘膜がでこぼこしてみえます
この病気は、現状では原因が不明なことが多く、残念ながら完治が難しいですが、早期に発見できれば、投薬治療や食事療法などで症状をコントロールすることができます。

なお、炎症性腸疾患を放っておくと、たんぱく漏出性腸症という命にかかわる状態につながることも!
「たまに吐くのは愛犬の体質」と見逃さないようにしたいものです。
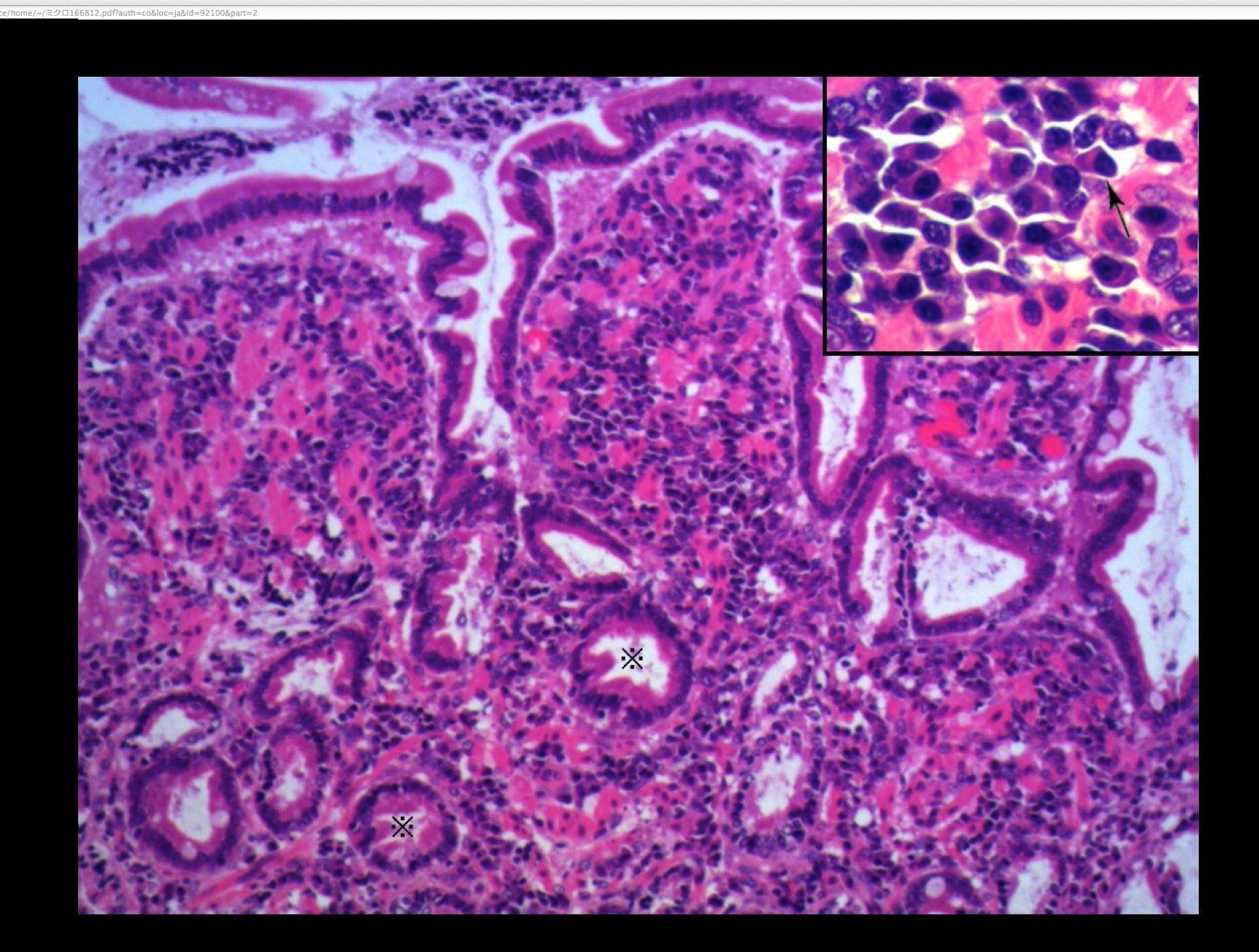
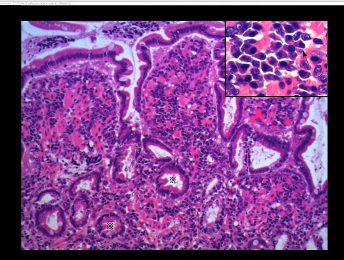
↑内視鏡で採取した腸の組織を顕微鏡で検査すると、炎症を起こしていることがわかります

いかがでしたか?
きちんとした食生活を送っている犬なら、通常、食べたものを吐いたりしないそうです。
愛犬が月に数回以上吐くのであれば、もしくはおなかを壊しやすいのであれば、病気が原因のことも考えられるので、「愛犬はよく吐く」「下痢しやすい体質」と思い込まずに、かかりつけ医に相談するようにしましょう。

参考/愛犬との暮らしをもっと楽しむ「いぬのきもち」2016年9月号『スペシャリストが今、伝えたい犬の病気』(胃・腸の病気ページ監修:練馬テイルズ動物病院院長 石川 朗先生)
症例写真提供/石川 朗先生
文/h.taco

※症例写真以外の写真と記事に関連性はありませんので、予めご了承ください。
CATEGORY   犬と暮らす

UP DATE

関連するキーワード一覧

人気テーマ

あわせて読みたい!
「犬と暮らす」の新着記事

新着記事をもっと見る