「気のせい」と見落としやすい!本当はコワイ犬の病気って?
    
                                        
                                                
        毎日愛犬に接していても、細かな異変に気づけなかったり、「まさかね……」と思って勘違いして病気を見落としてしまうことがあります。健康のプロである獣医師であれば気づけても、飼い主さんではなかなか見つけにくい場合もありますので、どんな病気に気づきにくいかを先に知っておくことで、愛犬の健康管理に役立てましょう!
この記事では、どんな犬でもなりやすく、かつ見つかりにくくて要注意な病気を5つご紹介します。
     
                                        
                                                
        
「汚れているだけ」と勘違いしやすい……外耳炎
    
                                        
                                                
                                        
                                                
        外耳炎とは、耳の入り口から鼓膜までの外耳道(がいじどう)という場所に炎症が起こる病気です。すべての年代の犬でかかりやすい病気のひとつですが、慢性化するとより深刻な中耳炎になってしまう場合も。とくに垂れ耳タイプの犬では犬の耳の中をチェックする機会自体が少なかったり、「ただ汚れているだけかも?」と勘違いするケースが多いです。
     
                                        
                                                
        
「ウィンクしている」と思い込みがち……ドライアイ
    
                                        
                                                
                                        
                                                
        ドライアイとは、涙が角膜にいきわたらず、乾燥して炎症を起こすこと。人ではよく知られている病気ですが、実は犬もドライアイになることはあまり知られていません。シー・ズーやパグ、フレンチ・ブルドッグなど顔が平たい犬種でよく見られる病気です。
     
                                        
                                                
        
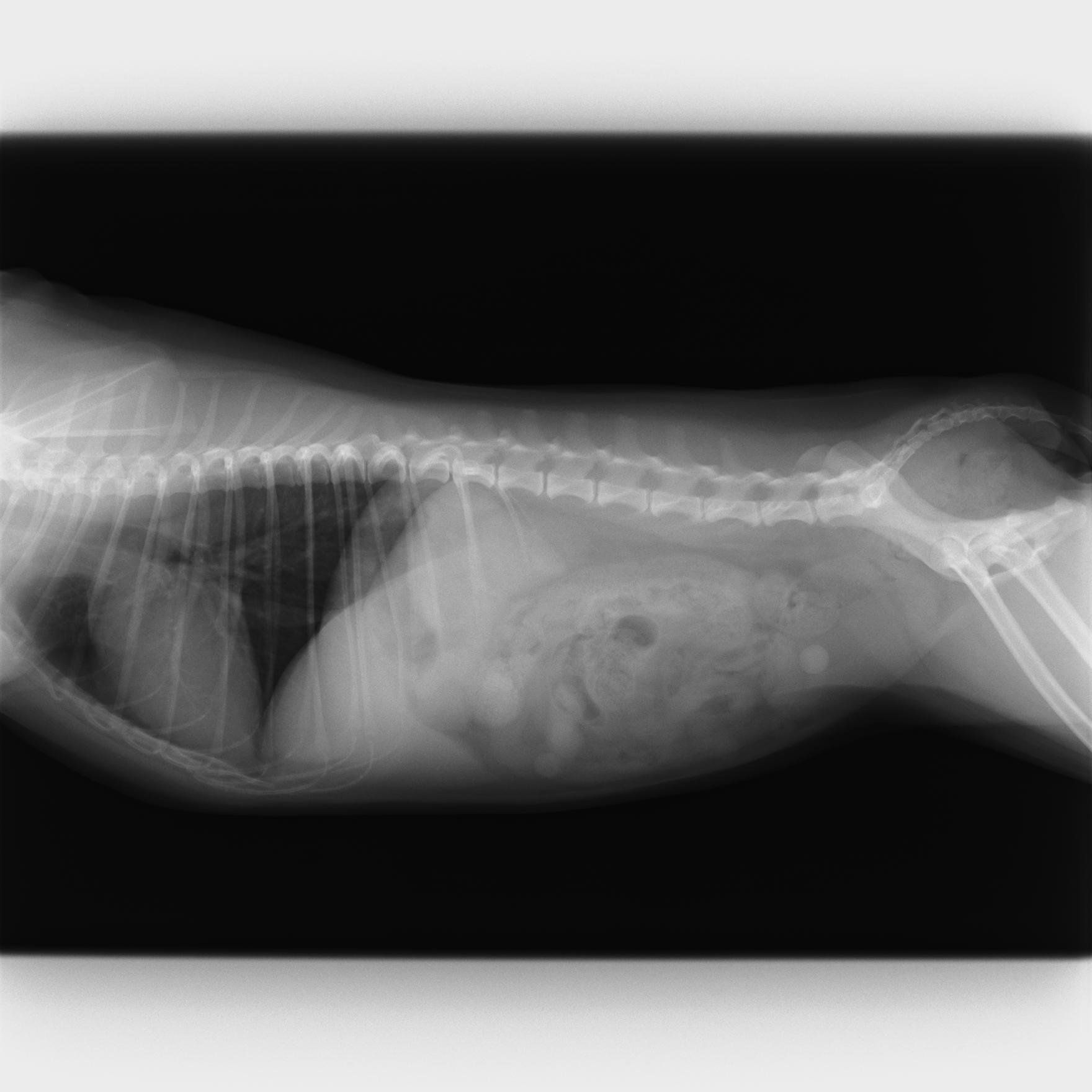
石になる前に流れてしまう……メスの尿石症
    
                                        
                                                
                                        
                                                
        尿石症(にょうせきしょう)とは、オシッコの通り道に石ができて詰まってしまう病気です。尿に含まれるミネラルが結晶化し、尿道で詰まるとさまざまな症状を引き起こします。オスがよくなる病気として知られていますが、メスはオスより尿道が短いので、結晶ができてもすぐに砂状になって排出されてしまうことが多いため、尿石症であると気づきにくい傾向があります。
     
                                        
                                                
        
ちょっとの寄生では症状が出ない……瓜実条虫症
    
                                        
                                                
                                        
                                                
        瓜実条虫(うりざねじょうちゅう)とはサナダムシの仲間で、ノミを媒介して犬の消化管に寄生します。ノミを駆除しても、虫自体は体内に残ってしまううえ、通常であれば寄生されても症状がほとんど出ないため、気づきにくい病気のひとつ。多数に寄生されると下痢や体重減少を起こすことも。
     
                                        
                                                
        
触る機会自体が少ない場合も……しっぽの脱臼・骨折
    
                                        
                                                
                                        
                                                
        しっぽには尾骨という骨が入っています。たとえば犬が壁にぶつかったり、ドアに挟んだりなど強い力が加わると脱臼や骨折することがあります。悪化するとしっぽが変形する、排泄がうまくできないなど、生活に支障が出る場合も。
     
                                        
                                                
        
少しでも気になることがあれば動物病院へ!
    
                                        
                                                
        いかがでしたか?ちょっとした気がかりなことを「異変」と思うか、「気のせい」と思うかで、愛犬の運命は大きく変わります。少しでも気になることがあれば、動物病院で診てもらったほうがよいでしょう。
参考/『いぬのきもち』2019年2月号「年代別 飼い主さんが気づきにくい病気」(監修:東京動物医療センター副院長 南直秀先生)
症例写真提供/東京動物医療センター
イラスト/ササキサキコ
文/影山エマ