1. トップ
  2. 犬と暮らす
  3. 健康・病気
  4. 健康管理・健康診断
  5. クセや個性と勘違いしやすい、子犬の「隠れ」病気3選

犬と暮らす

UP DATE

クセや個性と勘違いしやすい、子犬の「隠れ」病気3選

クセでも個性でもない、子犬の”隠れた”病気って?

犬の病気の中には、クセや個性と勘違いして見逃されてしまう病気があることを知っていますか? 飼い主さんが勘違いをしたまま病気を放置すると、さらに症状が進行し、治療が長期化してしまうこともあります。子犬期の犬に多く見られて、かつ飼い主さんが気づきにくい病気を3つ紹介しますので、参考にしてくださいね。飼い主さんが見逃さないためのポイントも要チェック!

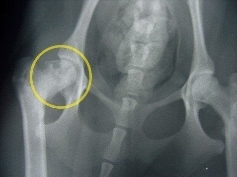
股関節形成不全(こかんせつけいせいふぜん)

股関節形成不全は、成長過程で犬の股関節が変形してしまう病気です。関節がゆるくなってしまうことで、炎症が起こる、歩くたびに痛みが生じるといった、さまざまな症状を引き起こします。発育過程である子犬期に症状が出やすく、重症化すると歩けなくなることもある、実は怖い病気なのです。
写真は、ゆるみが出ている関節のエックス線写真。向かって右側の関節にズレがみられる。
写真は、ゆるみが出ている関節のエックス線写真。向かって右側の関節にズレがみられる。

<気づくためのポイント>

愛犬に以下のような症状が見られたら、股関節形成不全かもしれません。
  • お尻を振って歩く
  • 立ち上がるのが遅い
  • 後ろ足を引きずる

とくに子犬のうちは、見慣れない歩き方をしていても、クセや個性と勘違いしがち。子犬のうちに健康診断で動物病院に行き、エックス線写真を撮ってチェックしてもらうと早期発見につながります。

レッグペルテス症

レッグペルテス症は、後ろ足の骨と骨盤をつないでいる大腿骨頭(だいたいこつとう)に血液が上手く流れず、壊死してしまうことで起こる病気です。はっきりとした原因はまだわかっていないため、予防が難しい病気ですが、成長期にある小型犬で多くみられます。関節部が痛むため、足をかばうように歩いたり、足を上げたままにするなどの特徴がありますが、これを飼い主さんがクセや個性と勘違いしてしまうことも。
症状があらわれている大腿骨のエックス線写真。
症状があらわれている大腿骨のエックス線写真。

<気づくためのポイント>

愛犬に以下のような症状が見られたら要注意! レッグペルテス症の疑いがあります。
  • 足を浮かせて歩く
  • 足をかばった遊び方をする
  • 足を上げたままにする

初期のうちはエックス線写真でも判断しにくい場合があるため、少しでも気がかりなことがある場合は、かかりつけ医に相談してみるとよいでしょう。

水頭症(すいとうしょう)

水頭症は、脳内に脳脊髄液(のうせきずいえき)という液体が過剰に溜まる病気です。過剰に溜まった脳脊髄液によって脳が圧迫されてしまい、けいれん発作や視覚障害などの症状が出ます。水頭症はほとんど先天性(生まれつき)の病気のため、症状が出るまで気づきにくい病気。脳の内部に液体がたまるため、頭が大きく見える犬が多いですが、それもその犬の個性と勘違いしてしまう飼い主さんが多いようです。
写真左が水頭症を患った子犬。おでこ部分が大きく出っぱっている。
写真左が水頭症を患った子犬。おでこ部分が大きく出っぱっている。

<気づくためのポイント>

下記のような特徴が見られたら、水頭症の可能性があります。

  • おでこが大きく出っぱっている
  • 物によくぶつかる
  • 両目がそれぞれ外側を向いている
  • 回るしぐさをする
  • なでられるのを嫌がる


多頭飼いの飼い主さんでは、きょうだい犬と比べることで気づいた、というケースも。同じ犬種で同じ月齢の犬と暮らしているいぬ友と情報交換をしたり、SNSなどで見比べてみるのもひとつの手かもしれません。

変化を記録して、「気づきにくい」に気づこう!

クセや個性と勘違いしやすい子犬の病気、いかがでしたか? はじめて犬を迎えた飼い主さんでは、些細な違和感も「このコはこういう犬なんだ」とクセや個性と思ってしまいがち。また、子犬期は体の成長もあわせて、とにかく変化の目まぐるしい時期でもあります。まずはその犬の生活パターンを把握するためにも、とくに成長期は毎日ゴハンを食べているか、体重は順調に増えているかなどを記録し、毎日の変化をきちんと見守ることで、愛犬の異変に気付きやすくなりますよ!


参考/「いぬのきもち」2019年2月号「年代別 気づきにくい犬の病気」(監修:東京動物医療センター 副院長 南直秀先生)
症例写真提供/東京動物医療センター 副院長 南直秀先生
文/UTAにゃん
CATEGORY   犬と暮らす

UP DATE

関連するキーワード一覧

人気テーマ

あわせて読みたい!
「犬と暮らす」の新着記事

新着記事をもっと見る