1. トップ
  2. 犬と暮らす
  3. 健康・病気
  4. 病気の兆候
  5. 若い犬だからこそ要注意! 本当は怖い足腰の病気3選

犬と暮らす

UP DATE

若い犬だからこそ要注意! 本当は怖い足腰の病気3選

油断禁物!子犬こそ足腰の病気に気をつけて

「足腰」と言えば、なんとなくシニア犬の病気やケガを連想する飼い主さんは多いはず。でも、実は骨や筋肉が成長中の子犬や若い犬こそ気をつけるべきだったりするんです! ここでは、4才以下の若い犬で気をつけるべき足腰の3大不調をご紹介します。

1.膝蓋骨脱臼

膝蓋骨脱臼(しつがいこつだっきゅう)とは、何らかの原因で膝の関節がずれ、歩きづらくなる病気のこと。健康な犬の膝関節は、いわゆる「膝のお皿」と呼ばれる膝蓋骨が、くぼみ(滑車溝/かっしゃこう)にはまった状態になっています。これらは靭帯(じんたい)で固定されており、膝蓋骨が滑車のような働きをすることで、犬は膝を曲げ伸ばしすることができます。膝蓋骨脱臼では、膝蓋骨がなんらかの原因によってくぼみからズレてしまうのです。先天的にくぼみが浅い犬や、骨や靭帯が発達しきれていない若い犬に多く見られます。悪化すると、後ろ足の膝が内側に向くなど、歩きづらくなることも! 片足だけでなく、両足で発症するケースもあります。
症例写真提供/ノヤ動物病院
症例写真提供/ノヤ動物病院
左足の膝蓋骨を脱臼している、9カ月のメスのチワワのエックス線写真。画像では右側に見える足で、左上に飛び出している丸い塊が膝蓋骨です。左側の足が正常な状態です。

どう予防する?

膝蓋骨脱臼は、高いところから飛び降りる、転倒するなどの衝撃が原因で起こることがあります。脱臼した状態で激しい運動をすると、靭帯が断裂する場合もありますので、とくに興奮しがちな若い犬では要注意。愛犬が興奮して飼い主さんに飛びついてきたときは、オスワリでクールダウンさせるなど、興奮を抑えるしつけを取り入れるとよいでしょう。

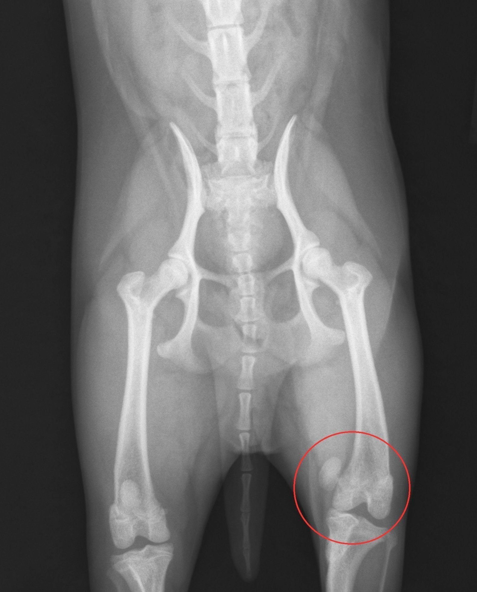
2.骨折

骨折は文字どおり、骨が折れてしまうことを指します。犬の骨格は幼少期や成長期にたくさん運動することでつくられ、その成長は生後11カ月でいったん止まるといわれていますが、成長途中の犬や、幼少期にあまり運動をしなかった犬では強い骨格と筋肉が育たず、ちょっとした衝撃でも折れやすくなってしまうことがあります。骨折の原因は、犬がソファや階段など高いところから飛び降りる、飼い主さんが抱いているときに誤って落としてしまうなど、事故や不可抗力によるものが多いよう。骨折すると、犬は足を床につけられなくなったり、痛みのために動かなくなってしまうこともあります。とくに小型犬の骨は非常に細く、割りばしや竹串ほどの細さしかない場合もあるため、注意すべきです。
症例写真提供/ノヤ動物病院
症例写真提供/ノヤ動物病院
画像は、前足を骨折した、7カ月のトイ・プードルのエックス線写真。赤い丸で囲まれた箇所が症状の見られる部分です。

どう予防する?

人ではなんということもない高さでも、成長途中の若い犬では高低差が大きくなるため、骨に強い衝撃を与えてしまいます。犬の体高より高い場所への上り下りをさせるのは避けましょう。また、抱っこしているときに犬を落としてしまうと、大ケガにつながるだけでなく、信頼関係を損なう場合も。両手でしっかり抱える、首輪に指をかけておくなど充分に注意したほうがよいでしょう。

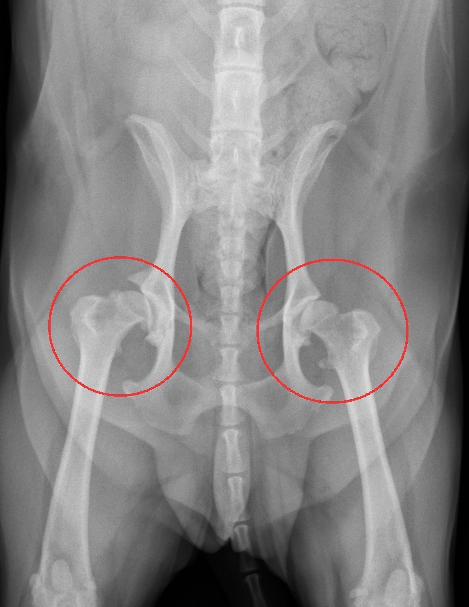
3.股関節形成不全

股関節は名前の通り、犬の股にある関節で、お尻(骨盤)と太もも(大腿骨)のつなぎ目にあたります。ここがなんらかの原因で正常に発育せず、股関節がしっかりはまらずにゆるみが出たり、関節同士がこすれたりして、関節に痛みが出てくるのがこの病気の特徴です。若い犬に症状があらわれやすく、多くは両足で発症しますが、なかには片足でだけ発症する犬も。軽度の犬ではほとんど症状があらわれないこともありますが、重症化すると後ろ足が外側に向いてエックス形になる、後ろ足に体重をのせると痛みが出るため歩きづらくなる、股関節を脱臼するなどのケースがあります。
症例写真提供/ノヤ動物病院
症例写真提供/ノヤ動物病院
画像は、両足に股関節形成不全が見られる、2才のフレンチ・ブルドッグのエックス線写真。赤い丸で囲まれた部分で形成不全を発症しています。

どう予防する?

股関節形成不全の多くは、後ろ足に体重をかけたときに強く痛みが出るため、体重が重くなるほど悪化します。体重30kg以上の犬で悪化しやすく、股関節を維持できずに脱臼することもあるため、肥満にさせないことが重要です。おやつの与え過ぎを避けて適切な食事量を守る、しっかり運動させるなどで、体型に合わせた適正体重を保ちましょう。

成長途中だからこそ、注意しながら見守ろう!

撮影/尾﨑たまき
撮影/尾﨑たまき
いかがでしたか?若い犬はまさに成長途中で、体を作っている最中。若い犬でとくに気を付けたい足腰の不調を3つご紹介しましたが、加齢で足腰が弱りがちなシニア犬でも、もちろん気を付けてくださいね!

参考/『初めて飼い主さんのいぬのきもち』2019年9月号「若い犬こそ気をつけたい 3大足腰の病気・ケガ」特集(監修:ノヤ動物病院 野矢雅彦先生)
撮影/尾﨑たまき
症例写真提供/ノヤ動物病院
文/影山エマ
CATEGORY   犬と暮らす

UP DATE

関連するキーワード一覧

人気テーマ

あわせて読みたい!
「犬と暮らす」の新着記事

新着記事をもっと見る